変形性膝関節症に対する治療方針
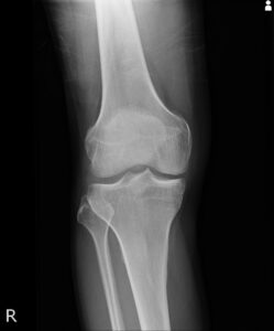
変形性膝関節症は、膝関節の軟骨がすり減ることで関節が変形し、痛みや動きの制限を引き起こす疾患です。特に中高年の方に多く見られ、進行すると日常生活にも大きな支障が出てきます。原因は、加齢、体重、過去の怪我などです。
<症状>
主な症状として、「動き始め」や「立ちしゃがみ」、「歩行や階段昇降時」といった荷重がかかるタイミングでの痛みが挙げられます。また、「膝に水がたまる」「関節の変形(O脚・X脚)が目立つ」「膝の曲げ伸ばしが制限される」といった所見も、変形性膝関節症の特徴です。
保存治療(手術を行わない治療)
変形性膝関節症の治療を開始する際に、一部例外を除いていきなり手術を勧めることはありません。変形の程度にかかわらず、まずは「保存治療」が選択されます。
保存治療では疼痛の緩和や機能の改善を目的としていて、変形を元に戻すことはできません。
<リハビリテーション>
保存療法の中心となるのがリハビリテーションです。理学療法士の指導のもと、筋力強化や動作訓練を行います。硬くなった筋肉や腱を直接手でほぐすことで、症状の緩和も期待できます。多くの方が「太ももの筋トレが大事」と思われていますが、それ以前に膝関節の動きを改善することが重要です。
関節の動きが整うことで、過度な負担を減らすことができます。さらに、膝関節は股関節や足首、姿勢とも密接に関係しているため、膝だけでなく、身体全体を調整する視点も大切です。
<薬物療法>
- 内服薬
基本的には一般的な消炎鎮痛薬が選ばれます。必要に応じて、膝の腫れや水がたまる症状に対応する漢方薬や、神経痛に効果のある薬剤を併用することもあります。
- 外用薬
シップや塗り薬等の外用薬も使用することがあります。
ただし、鎮痛薬全般を使いすぎることで痛みの感覚が鈍り、無意識のうちに関節に過度な負担をかけてしまうことがあります。その結果、かえって関節の変形を進行させるリスクがあるため、鎮痛の程度や使用頻度には注意が必要です。
<注射療法>
- ヒアルロン酸注射
関節内に直接ヒアルロン酸を注射します。滑らかな動きの獲得とともに、炎症を改善させる効果、軟骨の温存効果もあります。一度の注射で劇的に痛みの改善を得ることは難しいので、定期的な注射を要することが多いです。
- ステロイド注射
強い痛みが生じている場合、関節内に頻回に水が溜まるなど、炎症が強い場合には、ステロイドの関節内注射を行うことがあります。内側の関節の痛みが強い場合には、内側の関節包にステロイド注射を実施するのも効果的です。ただし、軟骨や腱の変性を進行させる副作用の発生の可能性もあるため、頻回なステロイド注射には注意が必要です。
- その他
また、関節外の筋腱の痛みや、神経からくる症状に対しては、神経ブロック注射やハイドロリリース注射が効果を発揮します。
*ハイドロリリース注射・・・筋膜や神経の周囲に生理食塩水やごく低濃度の局所麻酔薬を注入し、癒着や滑走障害を改善する治療法です。エコー下で正確に注射し、物理的に組織間の滑りを回復させることで、肩こりや神経痛などの筋膜性・神経障害性疼痛の軽減が期待されます。
*痛いのが内側なのに、外から注射を打つのはなぜ?
関節は関節包という組織でおおわれています。これが関節内と関節外の境になります。関節内に注射を打つ場合は、外側から打つことが確実性が高く一般的です。内側が痛い場合でも、関節内では内側まで薬が行き届くことになります。
ただし、膝の内側の関節外(筋肉、腱、神経など)が痛い場合にはそちらに注射を打つこともあります。ハイドロリリースは基本的には関節外に打つ注射です。
<PRP療法・PFC-FD療法>
患者さんご自身の血液を採取し、治癒を促す成分を加工・濃縮して膝関節内に注射する治療法です。炎症の鎮静化がメインの効能で、痛みの軽減や関節の柔軟性向上が期待されます。最近巷では、再生医療として話題になっている治療法ですが、注意していただきたいのは、すでに失われた軟骨が再生されるわけではなく、また下肢の変形(アラインメント)が矯正されるわけではないということです。
半月板の損傷については、軽度であれば改善が期待できます。PRP治療は採血当日に投与が可能で、PFC-FD治療は採血から約3週間後に投与が可能です。
→ PFC-FD療法
<物理療法>
温熱療法や超音波治療など、物理的な刺激を用いた治療も痛みの緩和に効果があります。ただし効果の持続時間が短いため、当院では補助的な位置づけとしており、積極的には推奨していません。
手術治療
<半月板切除・縫合>
軟骨の損傷が少なく、膝のバランスも良好で、MRIで半月板の損傷が確認された方には、関節鏡を用いた手術を行うことがあります。半月板を切除するか、縫合するかはその半月板の断裂形態や状態によって判断されます。切除のみであれば、翌日から歩行可能で、数日から1か月程度で症状の改善が見込めます。縫合を行った場合には、断裂形態に応じて荷重制限が設けられることもあり、一定期間松葉杖を使用する事が一般的で、その後段階的に復帰していきます。
一般的に変形性膝関節症に伴う半月板損傷は変性損傷と分類され、半月板のみの手術を実施しても、2年後には手術をしていない患者さんと大きな差がないという研究結果があります。したがって、手術適応とすることはいわゆる外傷での半月板損傷と比べると稀で、強い引っ掛かり感や水腫、疼痛があるときに短期的な効果に期待して手術を行います。骨切り術と併用する事も多いです。
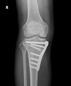
<膝周囲骨切り術>
変形性膝関節症や、骨壊死、半月板損傷を発症していて、下肢のアラインメント(体重のかかる中心軸)が不良な場合には、膝周囲の骨切り術を実施してアラインメントを矯正する手術を推奨します。半月板損傷がある場合には、骨切り術と半月板手術を併施することで効果が格段に上がります。この手術は人工関節とは異なり、膝関節自体は温存する手術なので、術後もスポーツを続けたい方や人工関節を受けるにはまだ年齢が若いという方に向いています。逆に、高度変形、肥満、可動域の悪い方、高齢者、骨粗鬆症患者、喫煙者は成績不良という報告があり、適応外となることがあります。骨切り術の方法は、変形の程度や方向に応じて複数ありますので、どの術式が最適かは担当医にご相談ください。
人工膝関節全置換術(TKA)
O脚やX脚が高度に進行し、関節の変形が著しく、高度の痛みを生じている方には、人工関節全置換術を行います。術前に作成した専用のガイドを用いて、脚の軸を正しく矯正しながら骨を切り、関節表面を人工関節(大腿骨・脛骨の金属パーツ+間にプラスチックパーツ)に置換します。
滑らかな動きが回復し、変形した膝がまっすぐになります。術後は翌日から荷重をかけて歩行訓練を実施します。深くしゃがむ、和式トイレを使用するといった動作が難しくなる場合があります。激しい運動は人工関節の破損につながる可能性があるため控えていただく必要がありますが、ウォーキングや水泳、テニスのダブルスなどは可能です。
本邦では年間10万人以上に行われている標準的な手術であり、その成績は安定しています。手術を受けられる方の平均年齢は70台後半であり、ご高齢の方でも受けていただける手術です。
人工膝関節単顆置換術(UKA)
膝の内側の変形に限られ、O脚変形の程度が軽度な方には、人工膝関節単顆置換術(UKA)が適応となることがあります。これは、膝関節の内側部だけを金属置換する術式で、全置換術と比べると負担も少ないため回復も早く、術後の動きはより自然に近く保たれ、生活の質も高く維持しやすくなります。
この術式を行うには、前十字靱帯や内側側副靱帯の機能がしっかり保たれていること、外側の変形が無いことが条件です。高度骨粗鬆症患者では全置換術の方が安定した成績を得ることも報告されており、術前には適応となるかの評価を要します。
まとめ
変形性膝関節症は、早期に適切な対応を行うことで進行を遅らせ、生活の質を保つことが可能です。症状の程度や生活スタイルに応じた治療方法をご提案いたしますので、お困りの方はぜひご相談ください。










